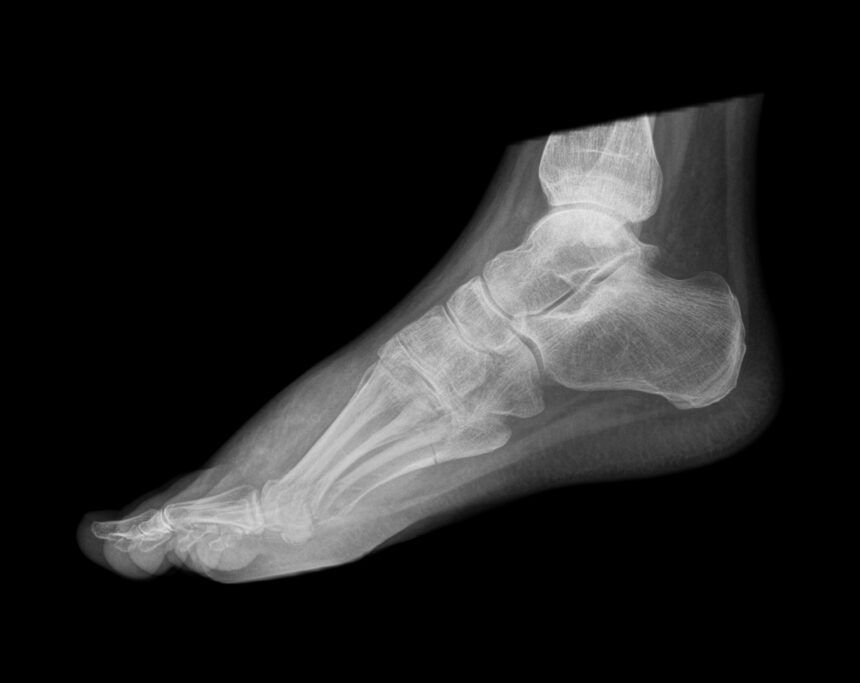
A bone spur is a smooth, rounded growth of extra bone that develops gradually, usually near a joint where the body is attempting to stabilize or repair itself. Despite the name, these growths are not sharp. They are more like small, firm projections that form over time and often go entirely unnoticed. They appear most frequently near joints such as the knees, hips, spine and heels, and they develop in direct response to physical stress on the surrounding tissue.
The medical term for a bone spur is an osteophyte, and health professionals encounter them routinely on imaging scans. Most are discovered incidentally, meaning a person never knew they had one until an X-ray was taken for an unrelated reason.
What causes bone spurs to develop
The body’s cushioning system depends on cartilage, the smooth, flexible tissue that lines the ends of bones and allows them to move against each other without friction. When that cartilage wears down, whether from aging, osteoarthritis or years of repetitive physical impact, bones begin to make direct contact with one another. In response, the body attempts to compensate by generating new bone tissue to increase surface area and restore stability.
The intention is protective. The result is not always helpful. That extra bone growth can end up pressing on nerves, restricting movement or irritating surrounding tissue, creating the very discomfort it was meant to prevent.
Osteoarthritis is the most common driver of bone spur formation. Repetitive physical activity plays a role as well. Runners, dancers and others who subject their feet to constant hard-surface impact frequently develop heel spurs as the body attempts to reinforce the area. Poorly fitting footwear, excess body weight and nutritional deficiencies that weaken bones can also accelerate the process by placing additional mechanical stress on vulnerable joints.
When bone spurs become a problem
The majority of bone spurs cause no symptoms at all. A person can live for decades with spurs on the spine, knees or feet and never experience any discomfort. Problems arise when a spur grows large enough to encroach on nearby structures.
The most significant complication is nerve compression. When a spur in the spine presses against a nerve, the result can be radiating pain, numbness, tingling or weakness in the arms or legs, sometimes extending far from the original site. In joints like the knee, a large spur can function like a physical obstruction, limiting the range of motion and making it difficult to fully bend or straighten the leg. Tendons can also be affected if a spur creates enough friction to cause tearing, which makes basic movements like walking or lifting painful.
Managing bone spurs without surgery
Rest is one of the most effective initial responses to bone spur pain. Reducing or eliminating the activity driving the discomfort gives surrounding inflammation a chance to settle. Ice applied to the affected area can help manage swelling and provide temporary relief. Over-the-counter anti-inflammatory medications can reduce pain and address the inflammation around the spur, though they are not intended for extended daily use.
Footwear matters considerably for heel spurs. Shoes with inadequate support or a sole that bends too easily in the middle fail to buffer the heel from impact. Switching to supportive footwear with a firm, cushioned sole can meaningfully reduce pain without any additional intervention.
When to seek medical attention
Bone spur pain that interferes with sleep or prevents normal walking warrants a medical evaluation. Numbness, tingling or muscle weakness in the limbs is a more urgent signal, as it suggests nerve compression that may be worsening. A physician will typically order imaging to identify the spur’s exact size and location before recommending a treatment plan.
In cases where rest, physical therapy and supportive measures fail to provide adequate relief, surgery may be recommended. The procedure involves making a small incision to access and carefully trim the excess bone, relieving the pressure on the nerve or joint. Recovery from this type of surgery is generally straightforward, and most people experience significant improvement in pain and mobility once healing is complete.
Bone spurs that cause no symptoms require no treatment. Addressing painful ones early, before they grow larger or cause progressive nerve or joint damage, offers the best chance of preserving long-term mobility.

